4th February, 2019

Stretch marks Laser treatment in Zirakpur and Chandigarh
Stretch marks Laser treatment in Zirakpur, Stretch marks Laser treatment in Chandigarh, Acne scars treatment in Chandigarh, Dermatologist in Chandigarh, Laser treatment in Zirakpur, Laser Hair removalStretch marks are common after pregnancy and physical activity like gyming. If treatment is taken early results are good. There are many treatment modalities but now a days Microneedling Fractional RF laser has become very popular for it's treatment due. to no downtime. It us now available in o....!
Tags : #STRETCH MARKS LASER TREATMENT IN ZIRAKPUR # STRETCH MARKS LASER TREATMENT IN CHANDIGARH # ACNE SCARS TREATMENT IN CHANDIGARH # DERMATOLOGIST IN CHANDIGARH # LASER TREATMENT IN ZIRAKPUR # LASER HAIR REMOVAL
1st February, 2019

Ear Lobe repair in Zirakpur and Chandigarh
Ear Lobe repair in Zirakpur, Ear lobe repair in Chandigarh, Ear lobe repair by glue in Chandigarh, Skin specialist in Chandigarh, Dermatologist in Dera Bassi, SKIN DOCTOR IN ZIRAKPUR, Skin whiteningEar Lobe damage has become very common specially due to heavy earrings. It's repair is very easy and safe. It is by two methods, One by sutures and other with glue. In our clinic both Facilities are available at a very nominal rates.....!
Tags : #EAR LOBE REPAIR IN ZIRAKPUR # EAR LOBE REPAIR IN CHANDIGARH # EAR LOBE REPAIR BY GLUE IN CHANDIGARH # SKIN SPECIALIST IN CHANDIGARH # DERMATOLOGIST IN DERA BASSI # SKIN DOCTOR IN ZIRAKPUR # SKIN WHITENING
19th January, 2019

Laser carbon peeling in Zirakpur and Chandigarh
Laser carbon peeling in Zirakpur, Laser carbon peeling in Chandigarh, Dermatologist in Dera Bassi, Skin specialist in Dera Bassi, SKIN specialist in Chandigarh, Laser treatment in DerabassiLaser carbon peeling is a new technology for Facial rejuvenation specially in oily and Acne prone skin. In this technology we First apply carbon gel over face and Then do Qswitch ndyag Laser. It helps in decreasing black spots, Acne and pigmentation removal and open pores treatment. Each session is ....!
Tags : #LASER CARBON PEELING IN ZIRAKPUR # LASER CARBON PEELING IN CHANDIGARH # DERMATOLOGIST IN DERA BASSI # SKIN SPECIALIST IN DERA BASSI # SKIN SPECIALIST IN CHANDIGARH # LASER TREATMENT IN DERABASSI
14th January, 2019

Skin specialist Doctor in Chandigarh area
Skin specialist in Dera Bassi, Skin Specialist in Dhakoli, Skin specialist in Chandigarh, Skin Doctor in Chandigarh, Laser treatment in Chandigarh area, Skin Doctors near me,Dermatologist in Dera BassSkin care in winter is very important because of Dry weather which can lead to a lot Skin related problems. Use Lukewarm water for showers, Use less soaps, Apply lots of Moisturiser all over body twice daily, Drink a lot of water. if there are any Lesion on skin then visit ur Dermatologist.....!
Tags : #SKIN SPECIALIST IN DERA BASSI # SKIN SPECIALIST IN DHAKOLI # SKIN SPECIALIST IN CHANDIGARH # SKIN DOCTOR IN CHANDIGARH # LASER TREATMENT IN CHANDIGARH AREA # SKIN DOCTORS NEAR ME #DERMATOLOGIST IN DERA BASS
3rd January, 2019

Child SKIN specialist in Zirakpur and Chandigarh
Child SKIN specialist in Zirakpur, SKIN specialist in Derabassi, Skin Doctor in Dhakoli, Skin whitening in Zirakpur, paediatric Dermatologist in Zirakpur, Skin Doctors in Derabassi, DermatologistSkin diseases in children are increasing day by day. These are of two types, Infectious and noninfectious. Most common infection of Skin are bacterial and fungal. Most common type of noninfectious is atopic eczema. In our clinic, the Facilities of diagnosis and treatment of SKIN diseases in children....!
Tags : #CHILD SKIN SPECIALIST IN ZIRAKPUR # SKIN SPECIALIST IN DERABASSI # SKIN DOCTOR IN DHAKOLI # SKIN WHITENING IN ZIRAKPUR # PAEDIATRIC DERMATOLOGIST IN ZIRAKPUR # SKIN DOCTORS IN DERABASSI # DERMATOLOGIST
31st December, 2018

PRP treatment in Zirakpur and Chandigarh
PRP treatment in Zirakpur, PRP treatment in Chandigarh, PRP treatment in Derabassi, PRP treatment in Mohali, Allergy Doctor in zirakpur, Allergy testing in Zirakpur, Allergy clinic in ZirakpurPRP treatment has become very common specially in case of Alopecia. It has other uses also including Abe scar treatment and Vampire facelift. It is painless and very cost effective method. This Facility is available now in our clinic at very nominal cost.....!
Tags : #PRP TREATMENT IN ZIRAKPUR # PRP TREATMENT IN CHANDIGARH # PRP TREATMENT IN DERABASSI # PRP TREATMENT IN MOHALI # ALLERGY DOCTOR IN ZIRAKPUR # ALLERGY TESTING IN ZIRAKPUR # ALLERGY CLINIC IN ZIRAKPUR
28th December, 2018

Scar treatment in Zirakpur
Scar treatment in Zirakpur, Warts and Corn treatment in Zirakpur, Mole treatment in Zirakpur, SKIN DOCTOR IN ZIRAKPUR, Skin Doctors in Derabassi, Skin Doctor in Dhakoli, Dermatologist in BaltanaScars on Face and body are very common. These may be due to some injury, Surgery or infection. These are of 2 types atrophied or Hypertrophic also called Keloids. In our Centre all the Facilities of diagnosis and treatment of Scars are available including peels, Laser and Surgery.....!
Tags : #SCAR TREATMENT IN ZIRAKPUR # WARTS AND CORN TREATMENT IN ZIRAKPUR # MOLE TREATMENT IN ZIRAKPUR # SKIN DOCTOR IN ZIRAKPUR # SKIN DOCTORS IN DERABASSI # SKIN DOCTOR IN DHAKOLI # DERMATOLOGIST IN BALTANA
27th December, 2018

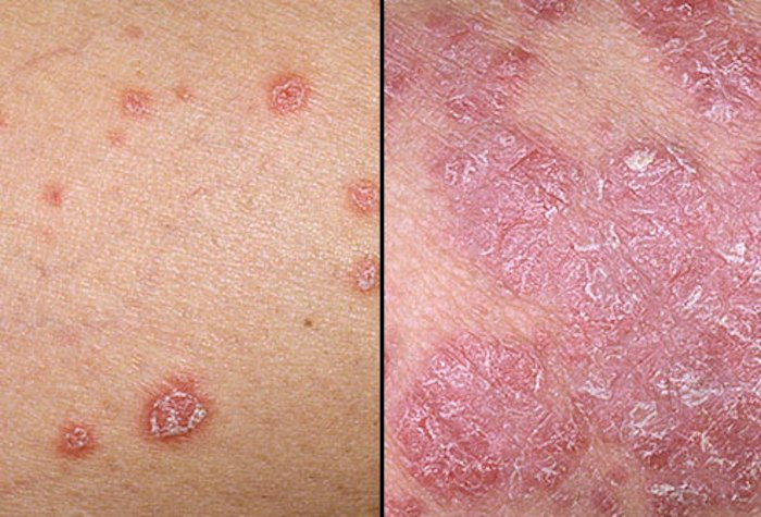
Psoriasis treatment in Zirakpur
Psoriasis treatment in Zirakpur, Psoriasis and Eczema Doctor in zirakpur, Skin specialist in Derabassi, Dermatologist in Dhakoli, Tattoo removal in Zirakpur, Moles and warts removal in ZirakpurPsoriasis is a relatively common skin problem clinically Characterized by Red patches with silver colour scale with or without itching including each and every parts of body. It is aggravated by smoking, Alcohol, winter and some drugs. In our clinic, All the Facilities of diagnosis and treatment....!
Tags : #PSORIASIS TREATMENT IN ZIRAKPUR # PSORIASIS AND ECZEMA DOCTOR IN ZIRAKPUR # SKIN SPECIALIST IN DERABASSI # DERMATOLOGIST IN DHAKOLI # TATTOO REMOVAL IN ZIRAKPUR # MOLES AND WARTS REMOVAL IN ZIRAKPUR
24th December, 2018

Melasma or Blemishes treatment in Zirakpur and Chandigarh
Skin clinic in Zirakpur, Blemishes and Melasma treatment in Zirakpur, Fungal treatment in Zirakpur, Laser treatment in Zirakpur, Skin specialist in Derabassi, Dermatologist in Dhakoli, Skin specialistMelasma or Commonly called Blemishes are hyperpigmentation over face specially on malar area of face. It is due to sunlight and some hormonal disturbances. In our clinic all the Facilities to treat Melasma are available including peels and Lasers.....!
Tags : #SKIN CLINIC IN ZIRAKPUR # BLEMISHES AND MELASMA TREATMENT IN ZIRAKPUR # FUNGAL TREATMENT IN ZIRAKPUR # LASER TREATMENT IN ZIRAKPUR # SKIN SPECIALIST IN DERABASSI # DERMATOLOGIST IN DHAKOLI # SKIN SPECIALIST